Evaluation of the effects of chronic occupational exposure to metallic mercury on the thyroid parenchyma and hormonal function

Introduction: Experiments in animals exposed to mercury (Hg) in different chemical states have shown thyroid parenchymal and hormone alterations. However, these experiments did not allow the establishment of dose-response curves or provide an understanding of whether these Hg effects on the thyroid parenchyma occur in humans. Objective: To evaluate the association between chronic occupational exposure to metallic […]
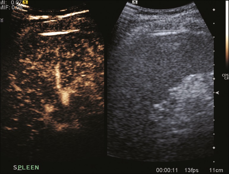
Common and uncommon features of focal splenic lesions on contrast-enhanced ultrasound: a pictorial review

A caracterização de lesões focais esplênicas pela ultrassonografia pode ser bastante desafiadora. A introdução da ultrassonografia com contraste por microbolhas vem ganhando papel importante no campo da avaliação por imagem das doenças esplênicas, oferecendo um método livre de radiação ionizante. Após a implementação da ultrassonografia contrastada na prática médica, doenças malignas como linfomas e metástases, […]
Imaging Features and Complications of Facial Cosmetic Procedures

Facial aesthetic procedures have become increasingly popular and complex, making knowledge of facial anatomy crucial for achieving desired outcomes without complications. Some of the most common procedures include blepharoplasty, bichectomy, face-lifts, facial implants, thread lifting, and fillers. Blepharoplasty and bichectomy are surgical procedures that respectively aim to restore youthful contours to the periorbita and create […]
