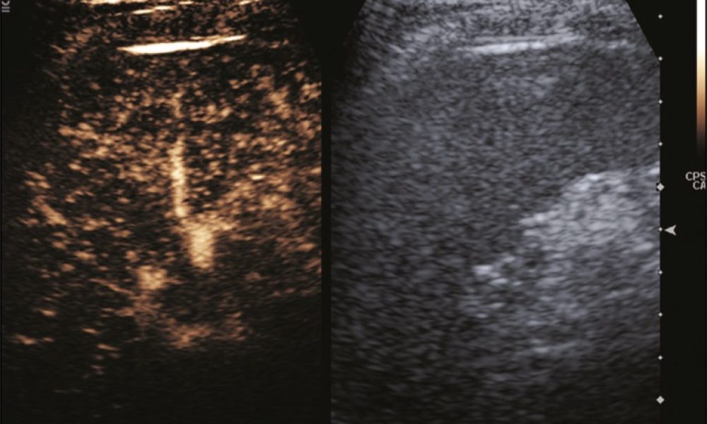
A caracterização de lesões focais esplênicas pela ultrassonografia pode ser bastante desafiadora. A introdução da ultrassonografia com contraste por microbolhas vem ganhando papel importante no campo da avaliação por imagem das doenças esplênicas, oferecendo um método livre de radiação ionizante. Após a implementação da ultrassonografia contrastada na prática médica, doenças malignas como linfomas e metástases, bem como benignas, como cistos, lesões traumáticas e hemangiomas, podem ser observadas e caracterizadas de maneira acurada, sem a necessidade de prosseguir a investigação com outros métodos de imagem. Mais especificamente, lesões traumáticas esplênicas podem ser acompanhadas por meio da ultrassonografia contrastada, evitando a radiação ionizante da tomografia computadorizada, uma vez que as fraturas esplênicas e suas potenciais complicações são seguramente demonstradas por esse método ultrassonográfico. Na nova era do uso dos contrastes para ultrassonografia, mais pacientes serão beneficiados por investigações livres de radiação para avaliação de afecções do baço, com alta acurácia diagnóstica.

